Clinically Inspired.Truly Transformative.
Innovative technology, developed by clinicians
to meaningfully improve stroke care.

Hyper Insight Suite for Deployment
Our AI-powered solutions deliver rapid performance, seamless scalability and robust security.
With adaptable features tailored to each hospital's unique requirements,
it provides dependable, future-ready solutions



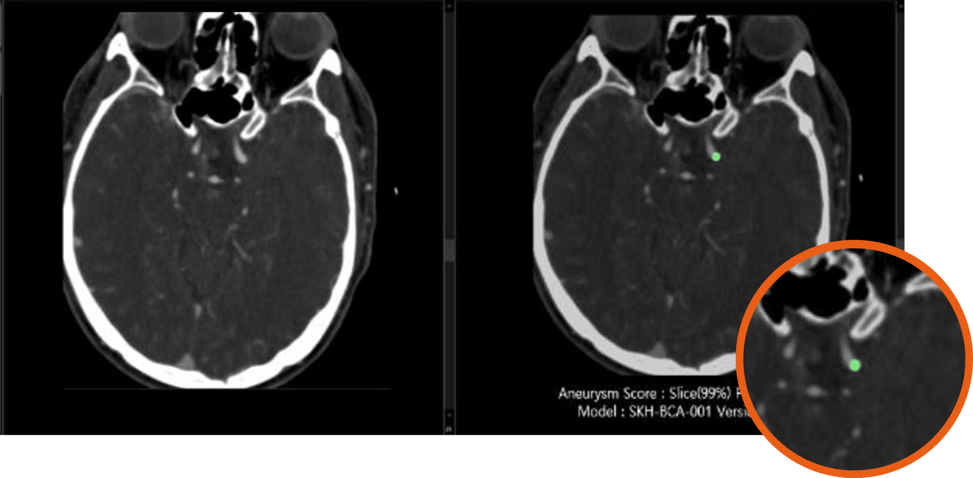
Watch the video below to see how AI detection, triage and localization can transform stroke care

Streamline Workflow and
Accelerate Patient Care
Suspected Case Notification
AI analyzes the scan and alerts you topatients with suspected brain hemorrhage.


Mobile DICOM Viewer
Analyze patient conditions anytime, anywhereusing a DICOM viewer on your smartphone.


In-App Team Communication
Collaborate seamlessly with medical staffthrough messaging and invitation features.
AI clinical decision support (CDS) accelerates physician decision-making, but not all AI is created equal. The most advanced CDS tools go beyond basic detection—precisely identifying, analyzing, and quantifying suspected conditions with exceptional accuracy and speed.




